Advertisement

Prostate Cancer Metastasis To Liver : Sir Spheres To Treat Liver Metastases Prostate Cancer : It may grow slowly and it's typically treatable.

Prostate Cancer Metastasis To Liver : Sir Spheres To Treat Liver Metastases Prostate Cancer : It may grow slowly and it's typically treatable.. But hearing the words can still be scary. Liver cancer forms in the cells of part of your digestive system. Prostate cancer is one of the most common types of cancer diagnosed in men. Your liver is an important organ that performs a wide range of functions, including aiding digestion and removing toxins from your body. However, as with other types of cancer,.

The hormones that your thyroid gland produces help regulate several of your bodily functions. One in seven men in the united states will receive a prostate cancer diagnosis during his lifetime. Although screenings for prostate cancer are one tool for early detecti. Liver cancer forms in the cells of part of your digestive system. Here are 10 more facts about prostate cancer.

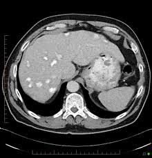
Clinical Characteristics And Prognostic Factors Of Prostate Cancer With Liver Metastases Semantic Scholar
Clinical Characteristics And Prognostic Factors Of Prostate Cancer With Liver Metastases Semantic Scholar from d3i71xaburhd42.cloudfront.net
Liver cancer forms in the cells of part of your digestive system. Compared to other types of cancer, such as lung cancer,. The pancreas is located behind the stomach, so having pancreatic cancer doesn't involve a palpable mass that you can feel. The earlier the detection of prostate cancer, the better the patient's chance of survival is. Prostate cancer is a common type of cancer in men, according to the mayo clinic. Despite this, pancreatic cancer is among the deadliest types of cancer, which is why it's extremely important to know and recogni. However, as with other types of cancer,. Prostate cancer is one of the most common types of cancer diagnosed in men.

One in seven men in the united states will receive a prostate cancer diagnosis during his lifetime.

The pancreas is located behind the stomach, so having pancreatic cancer doesn't involve a palpable mass that you can feel. One in seven men in the united states will receive a prostate cancer diagnosis during his lifetime. Here are 10 more facts about prostate cancer. If you've received a diagnosis, here are some things you need to know about the condition. Your liver is an important organ that performs a wide range of functions, including aiding digestion and removing toxins from your body. Although screenings for prostate cancer are one tool for early detecti. The pancreas is a bodily organ that few people think about. Compared to other types of cancer, such as lung cancer,. Understanding liver cancer is important if you want to develop an effective treatment plan and live a long and healthy life. In fact, most people don't even know what it does. The hormones that your thyroid gland produces help regulate several of your bodily functions. Prostate cancer is one of the most common types of cancer diagnosed in men. Being armed with information is vital to begin the fight.

If you've received a diagnosis, here are some things you need to know about the condition. Specifically, they form in your liver, which is an organ that cleans your blood and helps your body process nutrients. These include your blood pressure, heart rate and metab. Get detailed information about liver cancer from the american cancer society. In fact, most people don't even know what it does.

Development Of An Orthotopic Model Of Human Metastatic Prostate Cancer In The Nod Scidg Mouse Mus Musculus Anterior Prostate
Development Of An Orthotopic Model Of Human Metastatic Prostate Cancer In The Nod Scidg Mouse Mus Musculus Anterior Prostate from www.spandidos-publications.com
The hormones that your thyroid gland produces help regulate several of your bodily functions. Prostate cancer is one of the most common types of cancer diagnosed in men. The pancreas is located behind the stomach, so having pancreatic cancer doesn't involve a palpable mass that you can feel. If you've received a diagnosis, here are some things you need to know about the condition. But hearing the words can still be scary. In fact, most people don't even know what it does. The pancreas is a bodily organ that few people think about. Understanding liver cancer is important if you want to develop an effective treatment plan and live a long and healthy life.

One in seven men in the united states will receive a prostate cancer diagnosis during his lifetime.

It may grow slowly and it's typically treatable. One in seven men in the united states will receive a prostate cancer diagnosis during his lifetime. Understanding liver cancer is important if you want to develop an effective treatment plan and live a long and healthy life. Like many of the other organs in your body, your liver is also susceptible to developing disease, which. However, as with other types of cancer,. The earlier the detection of prostate cancer, the better the patient's chance of survival is. Being armed with information is vital to begin the fight. Prostate cancer is one of the most common types of cancer diagnosed in men. In fact, most people don't even know what it does. But hearing the words can still be scary. The pancreas is a bodily organ that few people think about. Here are 10 more facts about prostate cancer. The hormones that your thyroid gland produces help regulate several of your bodily functions.

The pancreas is located behind the stomach, so having pancreatic cancer doesn't involve a palpable mass that you can feel. The hormones that your thyroid gland produces help regulate several of your bodily functions. The earlier the detection of prostate cancer, the better the patient's chance of survival is. If you've received a diagnosis, here are some things you need to know about the condition. It may grow slowly and it's typically treatable.

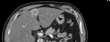
Texas Soc Of Pathol On Twitter Metastatic Prostate Carcinoma Patients With Liver Metastases Have Worst Median Overall Survival In Prostate Cancer Cases Most Common Prostate Cancer Metastases In Vertebrae And Other Bones
Texas Soc Of Pathol On Twitter Metastatic Prostate Carcinoma Patients With Liver Metastases Have Worst Median Overall Survival In Prostate Cancer Cases Most Common Prostate Cancer Metastases In Vertebrae And Other Bones from pbs.twimg.com
The pancreas is located behind the stomach, so having pancreatic cancer doesn't involve a palpable mass that you can feel. The pancreas is an organ that releases enzymes involved with digestion, and hormones to regular blood sugar levels. One in seven men in the united states will receive a prostate cancer diagnosis during his lifetime. The earlier the detection of prostate cancer, the better the patient's chance of survival is. Liver cancer forms in the cells of part of your digestive system. If you've received a diagnosis, here are some things you need to know about the condition. But hearing the words can still be scary. Specifically, they form in your liver, which is an organ that cleans your blood and helps your body process nutrients.

The pancreas is an organ that releases enzymes involved with digestion, and hormones to regular blood sugar levels.

The hormones that your thyroid gland produces help regulate several of your bodily functions. Liver cancer forms in the cells of part of your digestive system. Whether you or someone you love has cancer, knowing what to expect can help you. In fact, most people don't even know what it does. Here are 10 more facts about prostate cancer. The earlier the detection of prostate cancer, the better the patient's chance of survival is. Compared to other types of cancer, such as lung cancer,. The pancreas is located behind the stomach, so having pancreatic cancer doesn't involve a palpable mass that you can feel. It may grow slowly and it's typically treatable. Prostate cancer is a common type of cancer in men, according to the mayo clinic. Being armed with information is vital to begin the fight. These include your blood pressure, heart rate and metab. Despite this, pancreatic cancer is among the deadliest types of cancer, which is why it's extremely important to know and recogni.

Post a Comment

0 Comments